Woah, dramatic title there - don't worry, it's about - if you haven't guessed yet - tattoos.
I wouldn't regret getting a tattoo, one bit. I don't care what you think. One day, when I grow up, I'm gonna cover my arms, chest and back with tattoos (assuming me getting tattoos wouldn't affect my profession).

However, most adults whom I have interacted with, regarding this, said they do not want to get a tattoo because "what if I don't like my tattoo someday and regret it?". Getting this answer reveals that the person acknowledges that tattoos are permanent; which isn't something exciting or new (it kinda feels silly and unnecessary for me to write that here, sorry). So, tattoos are permanent. What makes tattoos permanent? That, my friends, is the topic of this blog post.

First off, what happens when a tattoo is put on? Well, as the artist makes the tattoo, when he/she draws it, the tattoo machine pierces the skin several times in a second, thereby pushing the ink inside the skin.

This is the reason why getting tattooed hurts - it's a sharp needle, repeatedly, and rapidly poking your skin to deposit all that ink.

But wait, skin keeps shedding and we keep getting new skin once a month. So shouldn't tattoos go away after a month? Guess what - not all our skin gets replaced; only the outermost layer gets replaced. Yes, you read that right - layer.
There are predominantly three major layers of the skin - Epidermis (outermost), Dermis (middle), Hypodermis (innermost).

Layers of Skin


  1. The epidermis is the outermost layer of skin that protects the body from germs, sunlight, and dehydration. It constantly renews itself and contains melanin, which gives skin its color.
  2. The dermis is the middle layer that provides strength, elasticity, and sensation. It houses blood vessels, nerves, sweat glands, and hair follicles — and is where tattoo ink stays.
  3. The hypodermis is deepest layer, made mostly of fat and connective tissue. It cushions the body, provides insulation, and helps regulate temperature.

There you go - those are the layers of the skin, in brief.

Now, what the tattoo machine does, is that it pushes the ink deep into the dermis. And the thing about dermis is that, unlike epidermis, it doesn't shed so often. It usually renews itself, by repairing damages, and it sheds once few decades, that too, not completely. And this is why tattoos only fade over time, but still remain strongly visible.

Now that ink, a foreign material, enters the dermis, shouldn't there be a defense-mechanism, because, tattoos being intended, wouldn't pose a problem, but what if some other foreign substances, like, bacteria get in? Well, thanks to nature's amazing structure/plan, the skin does have, if I may say, weapons against such foreign particles. And this weapon, is, (drum-roll) macrophages. Macrophages are essentially a type of White Blood Cell (WBC), that surrounds the foreign particle and tries to break it down, or kill it, in case of living things.

Poor guy tattoo ink has to go through 2-Factor Protection now... But fear not, for tattoo ink prevails over macrophages! Why? It's because ink's too complex for macrophages to break it down. Therefore, ink kinda leverages macrophages and lets the macrophages, in a sense, capture & store itself. This makes tattoo ink even more visible and permanent.

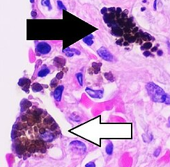
Tattoo Ink in Macrophage

In the above figure, the aggregates of black dots, which look trapped, are the ink particles captured in the macrophages (the pink part). And since ink cannot be broken down by the macrophages, it stays like that - essentially being stored by the macrophage, and making the tattoo visible.

And that, my friends, is how tattoos are permanent.

And if you're wondering, temporary tattoos don't deposit ink or anything - they're just stickers over the skin, which is the epidermis, meaning the tattoo comes off, along with the skin when it sheds. (If you ask me, they don't deserve to be called tattoos. Not kidding.)



Here's a fun fact for you: The word “tattoo” comes from the Polynesian word “tatau,” which means to mark or strike. In Polynesian culture, tattooing was a sacred tradition that symbolized identity, status, and spiritual strength. The practice involved intricate patterns tapped into the skin using natural tools.
Here's also a fun fact, but about me: I would never, ever regret getting a tattoo. I wonder why anyone would regret a tattoo. But I guess that's an issue for some other day.